podobnoja Napisano 27 Maja 2014 Napisano 27 Maja 2014 Witam, Chciałem się podzielić, no i przede wszystkim ostrzec tych co nie uważają i nie szanują swojego zdrowia (w tym siebie)... Podczas złamania, leczenia szukałem wiele informacji na temat: złamania, jak długo itd. (postaram się wszystko opisać, nawet wstawić zdjęcia 1 marzec - lasek - szaleństwa -> upadek na prawy bark i stwierdzenie, że pewnie złamałem obojczyk. Pierwsze złamanie, dziwne mrowienie w okolicach barku, delikatny ból to wracam na rowerze z opuszczoną ręką do domu 8km... Zauwazyłem patrol policji chciałem podjechać, żeby pomogli mi (raz chciałem coś o tych...), co zrobili odjechali, obserwując mnie jakbym był jakimś debilem. Po 1km spotkałem jakoś Panią z dzieckiem i pomogła mi założyć plecak bo mi się wkręcał w szprychy... Dojechałem do domu, szybko wsiadłem w samochód i pojechałem na pogotowie.... .... .... czekałem .... .... .... 6h łącznie ze złamanym obojczykiem, wiadomo standardowa procedura (wizyta -> zdjęcie -> czekanie -> wizyta -> gips), wtedy w szpitalu w Poznaniu, ładowali hurtowo w gipis... Potem dowiedziałem się to był stażysta, chyba który się uczył (s######y... na mnie i na wielu innych). W gipsie wróciłem samochodem, ledwooo, nie mogłem wrzucić 1 biegu, ale na szczęście była, że mną moja kochana dziewczyna, która przez ten cały okres była dla mnie najbardziej pomocą osobą... Po 2 dniach zapisałem się do ortopedy, oczywiście prywatnie, bo terminy w 15 placówkach były na maj... wiec mi się sam zrośnie obojczyk, prywatnie oczywiście udało się w ten sam dzien.... Lekarz zobaczył zdjęcie, obejrzał, sprawdził gips i powiedział: "Ku*** ten gips jest źle założony". Myślę sobie fajnie fajnie... Lekarz mi zalecił kupno ortezy ósemkowej: Nie polecam, po 3 miesiącach mam pamiątki po niej... Polski produkt jednak nie nadaję się do niczego i nie był wcale tani, 100 zł. Dobra wracają do tematu. Nosiłem ortezę do około 12 kwietnia, z cotygodniowym zdjęciem RTG. Były lepsze monety , że wyglądało całkiem spoko i gorsze. Po zdjęciu ortezy, dostałem skierowanie na tomografie komputerową. W tym przypadku podobnie jak z zapisami do ortopedy, nie jest łatwo, z dopiskiem na skierowniu "pilne" czekać trzeba miesiąc (poznań). Teraz miałem 20 maja tomografie, odebrałem zdjęcie i jak zobaczyłem ręce opadły.... Dzisiaj idę na kontrole, wydaję mi się, że na pewno wizyta będzie miła... jeśli doktor stwierdzi, że potrzebna będzie operacja, to się wkur***, że pozwoliłem zmarnować sobie 3 miesiące. Mimo, że obojczyk wygląda jak wygląda to mnie nie boli, nie czuje dyskomfortu. Podczas ruszania wydaję mi się że się rusza cały, nie tylko złamana część. Wiec jest to dla mnie dość dziwne, jak to możliwe... Na koniec dodam opis badania:"Stan po złamaniu odcinka środkowego obojczyka z przemieszczeniem, z odłamami pośrednimi. Brak zrostu. Brzegi odłamów sklerotyczne, wzdłuż powierzchni trzonu widoczne ciągłe odczyny okostnowe. Pogrubienie warstwy korowej" Nie wiem po co to napisałem... z nadzieją, że może ktoś pocieszy, że tak jak spora cześć ortopedów napisze: "że najważniejsze w złamanym obojczyku jest odtworzenie jego długości, a że krzywo to mało ważne".... Znacie może jakiś dobrych specjalistów w Poznaniu?
topol Napisano 27 Maja 2014 Napisano 27 Maja 2014 Takich zlaman nie operuja zwyklym zjadaczom chleba.Gdybys byl np:Kubica,Gollob,na stole lezalbys juz po kilku chwilach od zlamania. Skąd to wiem,ha-tez sie polamalem.Dzis gips to ez relikt.Orteza zwana osemka +ketonal to dzis bardzo popularne leczenie obojczyka. Twoim problemem jest rodzaj zlamania albo slabe naciagniecie ortezy.Orteza ma byc naciagnieta do nazwijmy to "granic zdrowego rozsadku"Ma dosc znaczaco wygiac ci ramiona ku łopatkom,tak by obojczyk sie "rozciągnoł" i swoim tylko sposobem zaczął sie sklejać.Z rtg widac ze tak sie nie dzieje.Boje sie ze z miejscowym znieczuleniu zrobia ci to reczne. Zartowałem:-) Czas to najlepszy lek.
Sol Napisano 27 Maja 2014 Napisano 27 Maja 2014 Z operacją bym nie przesadzał. Mi ortopeda tłumaczył, że obojczyk nieoperowany zrasta się zawsze, operowany niekoniecznie (staw rzekomy), nie wspominając o innych komplikacjach, które mogą wiązać się z krojeniem. Dlatego kroi się, gdy naprawdę są ku temu wskazania, np. mocne przemieszczenie, złamanie wieloodłamowe czy coś tam jeszcze. Gips może jest przeżytkiem, ale prawidłowo założony trzyma tak, że pacjent nie ma szans pogłębić urazu. Nie wiem w związku z tym czy u autora problem nie wynikł właśnie ze zdjęcia gipsu. Tak czy inaczej solidna konsultacja to mus, bo to faktycznie dziwne, że po takim czasie nie ma cech zrostu.
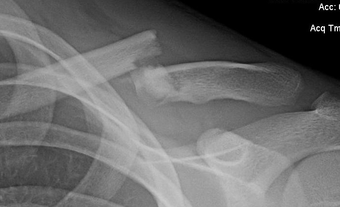
podobnoja Napisano 27 Maja 2014 Autor Napisano 27 Maja 2014 Zgadzam się z Tobą: bo mi też wielu specjalistów powtarzało, że obojczyk zrasta się w 99% i nie musi prosto. Czas najlepszym lekarzem Podczas noszenia ortezy miałem regularnie zdjecia RTG i dociągania ortezy, dwóch lekarzy mi naciągali... musiałem się owijać bandażami elastycznymi bo nie było do wytrzymania... W ortezie aż nitki puściły wiec raczej noszenie jej było poprawne... Dzisiaj byłem u lekarz dać własnie tomografie komputerową (powyżej zdjęcie), za tydzień wizyta i stwierdzenie co dalej, chociaż powtarza, że jak się trzyma i nie boli to nic nie będziemy robić... A już od miesiąca żyje, zrobiłem z 500km na rowerze i on tak wygląda... Nie boli, nie próbowałem podnosić nic cięższe niż z 15 kg... Wydaję mi się, że on musiał się złapać, niby w programie do tomografii komputer wymierzyłem wszystko, kośc obojczyka 1,2cm, gdy na siebie nachodzą 2cm, wiec zaczym się obleje w 100% 2cm obwodu to trochę potrwa. Tylko martwi mnie ten kikut "ostry", mimo, że go nie czuje to on aż 1cm wystaję. A według mnie szacunkowy zrost to 1cm... wiec niby szerokość obojczyka Człowiek naprawdę jest w stanie dowiedzieć się wiecej, niż od lekarza. Każdę zdjęcie rtg studiowałem, teraz tomografie. Nie długo zostanę specjalistą
zekker Napisano 28 Maja 2014 Napisano 28 Maja 2014 A już od miesiąca żyje, zrobiłem z 500km na rowerze i on tak wyglądaJeździsz z tym złamaniem? Konsultowałeś to z lekarzem?
podobnoja Napisano 28 Maja 2014 Autor Napisano 28 Maja 2014 Lekarz miesiac temu mi powiedzial ze mam wracac powoli do normalnosci... wiec zgodnie z zaleceniami zaczolem jezdzic powoli, stopniowo, dopóki nie dostalem zdjecia tomografii... (w ten poniedzialek) Bylem wczoraj u lekrza i w nastepny poniedzialek mam isc po jego analize badania i po wskazania co dalej...
wikrap1 Napisano 28 Maja 2014 Napisano 28 Maja 2014 U mnie lekarz ze znieczuleniem miejscowym (i tak napier*) nastawił ręcznie, wsadził w gips. Obojczyk był nieco krzywo, ale zdecydowanie odradzono mi operację. Zrósł się krzywo jak cholera, ale nie mam z nim absolutnie żadnych problemów. Zrósł się solidnie, bo po ostatnim dzwonie nic się nie stało..
podobnoja Napisano 28 Maja 2014 Autor Napisano 28 Maja 2014 A nie masz moze zdjecia RTG po zakonczeniu leczenia?
zekker Napisano 28 Maja 2014 Napisano 28 Maja 2014 Lekarz miesiac temu mi powiedzial ze mam wracac powoli do normalnosci... wiec zgodnie z zaleceniami zaczolem jezdzic powoli, stopniowoLekarz był świadomy, że jeździsz i to raczej agresywnie w terenie? Według mnie źle zrozumiałeś zalecenia. Uprawianie sportów to raczej nie powrót do normalności, a wychodzenie poza nią. Zdjęcie gipsu czy innego usztywnienia nie znaczy pełnego zrośnięcia. Jest na tyle dobrze, że kość się trzyma, ale do pełnej wytrzymałości jej brakuje. 500km w miesiąć to imo sporo jak na świeże złamanie. Jak jeszcze były trasy mniej równe niż niepopsuty asfalt, to mogłeś sobie obojczyk załatwić na nowo. Że nie bolało - fart, ale mnie łamanie sobie przedramienia (podwójne otwarte) też nie bolało Takie moje niefachowe spojrzenie na temat. Moja rada to odpuścić sobie rower na trochę dłużej, aż się porządnie zrośnie. W zamian można robić sobie spacery, będzie ruch a obojczyk na pewno mniej obciążony (także mniejsze ryzyko wywrotki).
wikrap1 Napisano 30 Maja 2014 Napisano 30 Maja 2014 To jest wbrew pozorom zrośnięty. Jest tam podobno jakiś zaczątek zrośnięcie i dalej bez gipsu da radę. I dało. Jest na swoim miejscu. A przynajmniej tak mi się wydaje. (Czego oczy nie widzą tego duszy lżej)
Arczik Napisano 10 Czerwca 2014 Napisano 10 Czerwca 2014 No to i ja się podzielę doświadczeniem, sobota trening przed Mazovią, idiotyczna decyzja wjechałem na rampę dla motocrosowców :/ źle się wybiłem upadek na prawy bark, złamanie, na szczęście nie straciłem przytomności. Najpierw jakieś 2km powrót na rowerze (w szoku) potem już nie byłem w stanie jechać. 4km z buta do domu. Szpital ostry dyżur, konsultacja, RTG konsultacja. Wynik, pełne złamanie z przemieszczeniem w barkowej końcówce obojczyka. Decyzja powróc do domu, na drugi dzień rano mam się stawić w szpitalu na operację. Na drugi dzień, operacja, pełna narkoza, złożenie obojczyka, założenie tytanowej płytki. 4 tygodnie w gipsie, po 6 tygodniach pierwsze ćwiczenie, reahabilitacja, krio, pole magnetyczne, laser, ćwiczenia z rehabilitantem. Największy szok dla mnie to to, jak po 4 tygodniach w gipsie, mięśnie i ścięgna szybko zanikają i jak trudno na początku wykonywać chociażby drobne ruchy ręką. Dziś wiem, dlaczego ludzie który lezą 2 tygodnie na łóżku szpitalnym mają tak duże trudności z poruszaniem się !!! Dla mnie to był największy szok. W tej chwili 2 miesiące po złamaniu uż funkcjonuję normalnie chociaż nadal mam ograniczony ruch w barku, na rower wsiądę mam nadzieję na jesieni, a ściganie . . . zobaczymy może w drugiej połowie przyszłego roku. Tytanową płytkę będę mi wyjmowali chyba za 6 miesiecy może póżniej z klika tygodni mam w tej sprawie konsultacje. Ludziska uważajcie na siebie szkoda zdrowia !!!
zekker Napisano 11 Czerwca 2014 Napisano 11 Czerwca 2014 No to teraz masz tytanową "ramę" Pomyśl jak wyglądała ręka po niecałych 3 miesiącach w gipsie, to był obraz nędzy i rozpaczy. Polecam się przyłożyć do rehabilitacji. Nie wiem czy u mnie była kiepska, czy po prostu za długo ręka w usztywnieniu, ale nie odzyskałem pełnego skrętu w nadgarstku. Na szczęście w niczym to w zasadzie nie przeszkadza.
HubertLange Napisano 16 Czerwca 2014 Napisano 16 Czerwca 2014 Ja wiem, że to śmieszne będzie obrażenie w porównaniu. Ale chodzi mi też o przyłożenie do rehabilitacji. Miałem złamany wieloodłamkowo palec, na RTG - jak niemal zmiażdżony. Zlekceważyłem rehabilitację. Pozostał niesprawny. Kiedyś skręciłem kostkę. Termin na reha miałem długi, to wydałem 1500 zł prywatnie na już. Nie żałuję. Można narzekać, że nie tak powinno być, bo się płaci podatki. I słusznie. Ale to sprawności nie przywróci.
Rekomendowane odpowiedzi
Zarchiwizowany
Ten temat przebywa obecnie w archiwum. Dodawanie nowych odpowiedzi zostało zablokowane.